犬猫消化系统疾病鉴别诊疗(十一)
—— 以内分泌和代谢紊乱为主的疾病(二)
一、概述
在特定条件下,由于不同品种犬猫自身的生理因素不同,或者某些处于高产、大强度运动等内外环境因素的影响,而引起机体激素内分泌障碍和/或营养物质平衡的失调,导致新陈代谢和营养障碍。内分泌和营养代谢疾病,主要包括状腺机能亢进或减退、甲状旁腺机能亢进或减退、肾上腺皮质机能亢进或减退、糖尿病、尿崩症、雌激素过剩、产后癫痫、肥胖症、高脂血症和佝偻病等。
二、类症鉴别
肾上腺皮质机能亢进
肾上腺皮质机能亢进症又称为库兴氏综合征(Cushing's syndrome),是由于肾上腺皮质分泌过量的糖皮质激素所致。临床上以多饮、多尿、贪食、肥胖、脱毛和皮肤钙质沉着为特征。主要发生于中、老年犬(2~16岁),峰期发病年龄为7~9岁,性别、品种间无明显差异。
【病因】下丘脑一垂体功能紊乱和垂体病,如垂体前叶和间叶肿瘤(非染色性垂体腺瘤)等,因垂体促肾上腺皮质素分泌过多,引起肾上腺计皮质机能亢进,约占本病的70%;肾上腺质
增生或肿瘤(大多为腺瘤,亦有腺癌);在治疗疾病时大量使用皮质醇或促肾上腺皮质素。
【临床症状】本病发展过程缓慢,一般需数年才表现出临床症状。病初表现渴欲增加,多尿,贪食,腹围增大,逐渐肥胖,运动耐力下降,呼吸迫促,嗜睡,不耐热,皮肤形成皱襞,鳞屑增多,有色素沉着,70%的病犬表现为无痒感的对称性脱毛(图1、图2、图3),母犬不发情,雄犬性欲减退。

图1 肾上腺皮质机能亢进
对称性脱毛

图2 肾上腺皮质机能亢进
患犬脱毛,腹部增大下垂

图3 肾上腺皮质机能亢进
犬泛发性脱毛
【诊断】根据临床症状,可作出初步诊断。
【治疗】库兴氏综合征治疗的主要目的是,使血液中皮质类固醇降到正常水平。如由肿 瘤引起,应予切除,但术后注意防止激素缺乏。肾上腺皮质瘤,可施手术摘除。由垂体肿瘤引起,可行垂体或肾上腺切除术;切除垂体或肾上腺的动物,需终身补充皮质类固醇。药物治疗,可用邻对二氯苯二氯乙烷每千克体重50mg,每天1次,连用10d,以后间隔1-2周用药1次。如出现呕吐、腹泻、食欲减退等副作用时,用皮质醇每千克体重1.5~2.0mg口服。
尿崩症
尿崩症是由于神经垂体分泌减少,导致抗利尿激素大量释放,从而引起尿量增加的一种慢性神经垂体综合征,常见于老年犬。
【病因】最常见的病因是神经垂体肿瘤,或邻近的颅内结构的肿瘤;外伤或脑膜炎。
【临床症状】如因肿瘤所致,表现为进行性烦渴和多尿。如因外伤或脑膜炎所致,多为突然发生。尿呈水样清亮,比重为1.002~1.006,不含蛋白。
【诊断】依据是慢性烦渴、多尿,排出恒定或变动不大的低比重尿。与糖尿病的区别在于糖尿病的尿中有糖,比重高达1.035~1.060,呈暗黑色、黄色或琥珀色。注射后叶加压素鞣酸盐油剂,如能使多尿和烦渴症状消失6~24h,即可证实诊断。
【治疗】尿崩症的控制必须注射抗利尿激素,通常是使用后叶加压素鞣酸盐油剂,剂量应按单个病例调整。其效果只能是每次注射后使症状暂时减轻。尿溶质、盐和蛋白质的饮食限制,也可能有助于减少尿的排出量。
雌激素过剩症
雌激素过剩症在公、母犬均可发生,母犬表现为卵巢功能不均衡I型,公犬表现为雌性化综合征。
【病因】本病的发生原因除医源性投与雌激素过量外,母犬的卵巢囊肿和卵巢肿瘤可导致本病,公犬的睾丸支持细胞瘤也可导致本病,睾丸支持细胞瘤多见于老龄公犬。
【临床症状】母犬表现有明显的特征性皮肤病变,即无瘙痒的对称性脱毛。脱毛主要发生在肷部、阴门周围、乳房和会阴等部位,并以疏毛、断毛、皮肤角化、形成皱褶和色素沉着为特征(图4、图5、图6)。严重病例脱毛可达体表面积的85%以上,仅头部和四肢末端有毛。

图4 雌激素过剩症
12岁母犬头颈部脱毛

图5 雌激素过剩症
12岁性激素性皮肤病母犬背腰部脱毛

图6 雌激素过剩症
12岁母犬前肢脱毛,腹部色素沉着
公犬雌激素过剩症,主要表现为雌性化综合征,性欲减退,交配无力,乳房和乳头雌性化肿大。特征性的左右对称性脱毛最初见于母犬阴门周围,以后扩展到股内侧及腹部,患病时间长的脱毛波及到股外侧、胸部、荐部、腰部、颈背及肩部,残留的被毛干燥无光泽,易拔脱。有的患犬皮肤可见大面积的异常色素沉着,尤其是阴囊、包皮、侧腹部以及股部最为明显,腹部有脱色斑。有的患犬单侧睾丸发生肿大和变硬,对侧睾丸发生萎缩。
【诊断】临床上母犬有发情样征候的内分泌性皮肤病和公犬伴随有雌性化综合征的皮肤病多怀疑本病。确诊有赖于直接测定血清中性激素的水平。病犬血中的雌激素水平明显高于健康犬。
【治疗】母犬手术摘除卵巢和子宫,是最可靠的方法。为了促进被毛生长,可投与甲状腺素1~2个月,至被毛长出为止。对子宫内膜增生的犬可投与孕酮,每天10~50mg。公犬可投与雄激素睾丸酮每千克体重0.4mg,每周1次。也可手术摘除睾丸。给予肾上腺皮质激素,也有一定的辅助治疗作用。
糖尿病
糖尿病是由于胰岛素相对或绝对缺乏,致使糖代谢发生紊乱的一种内分泌疾病,是犬最常见的内分泌疾病。
【病因】大多数病例都与慢性胰腺炎,或胰萎缩,或胰纤维变性并发。特异性病因尚不清楚。本病常发生于5岁以上或肥胖的犬,母犬多发。
【临床症状】病犬消瘦,渴欲和排尿增加,体重突然减轻,贪食。严重时,呼气时可闻到丙酮味,甚至由于发生顽固性呕吐而引起酸中毒。末期发生糖尿性昏迷。继发性症状有时出现角膜混浊、溃疡或白内障。如胰实质发生病变,还可出现消化机能和胰腺炎症状。
【诊断】在具有典型症状的患犬尿中检出糖,即可建立诊断。犬的正常血糖值每100ml为75~100mg,空腹时升高至150mg 以上,即是糖尿病的特征。
【治疗】本病的治疗原则是降低血糖,纠正水、电解质及酸碱平衡紊乱。轻症可通过改用由肉和牛乳组成的半糖尿病饮食加以控制。食物应是低碳水化合物。如仍不能控制疾病,应注射胰岛素,如精蛋白锌胰岛素,每天5~50U。胰岛素在喂前给予,少食多餐。或者口服低血糖磺酰脲,每天100~250mg。病期长的犬不易治愈。
脂肪肝综合征
脂肪肝指肝脏内脂肪异常增加,光学显微镜下观察到肝细胞内脂肪明显沉积的状态。本病是猫特有的,并且是猫最常见的一种肝脏疾病之一。
【病因】发病与营养失衡、代谢障碍、供氧不足等有关。药物副作用(四环素、甾体激素等),营养过剩,营养平衡失调(蛋白质、维生素、蛋氨酸的缺乏),慢性中毒,内分泌异常(胰腺、甲状腺、脑垂体、性腺、肾上腺等),妊娠及供氧不足等原因,均可使脂肪不能转换成脂蛋白,细胞坏死,中性脂肪在肝脏中蓄积,发生脂肪肝综合征。有研究表明,当机体缺乏必需氨基酸,特别是精氨酸和蛋氨酸时,能够诱导形成猫脂肪肝。猫脂肪肝也可以继发于其他疾病,如糖尿病、心肌病、肿瘤、神经病、胰腺炎、猫传染性腹膜炎和慢性肾脏疾病。
【临床症状】典型的猫脂肪肝症状是,四肢无力,食欲废绝,体重减轻,中度至重度脱水,全身黄疸,有呕吐症状,严重的病例出现脑神经症状(图7~图11)。若猫在开始食欲不振前比较肥胖,出现脂肪肝的概率非常高。当出现黄疸时,若不积极主动治疗,往往导致死亡。

图7 脂肪肝综合征
患猫严重脱水

图8 脂肪肝综合征
黄疸。耳廓皮肤黄染

图9 脂肪肝综合征
黄疸。眼结膜黄染

图10 脂肪肝综合征
黄疸。口腔黏膜黄染

图11脂肪肝综合征
肝性脑病,出现神经性抽搐
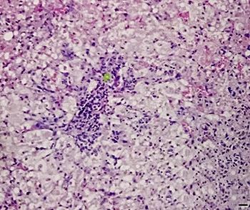
【诊断】根据生活史、临床症状,结合实验室检查(血脂增高,ALP明显升高,高胆红素血症,ALT和AST通常也增高,但增高幅度不大)、组织病理学检查(肝脏活体组织检查)及B超检查 (肝脏回声弥散性增强,肝脏肿大)等,可作出诊断(图12、图13)。

图12 脂肪肝综合征
病理切片示肝细胞脂肪变

图13 脂肪肝综合征
B超检查。肝脏形态稍大,实质显示微细致密的散射光点或“大片雪”样肝实质回声
【治疗】给予高蛋白低脂肪食物。蓄积脂肪的消除和肝的修复:巯丙酰甘氨酸连续服用50mg/d,或蛋氨酸0.2mg,每天3次内服。对于严重脱水、半休克、严重水盐代谢、酸碱平衡失调的病患,必须通过输液进行调整和能量支持。适当补充维生素K及其他多种维生素,使用对肝脏无损害的抗生素,控制细菌感染。
产后癫痫
以低钙血症和产后突发全身强直性痉为特征的代谢性疾病称为产后癫痫,亦称产后子癫、
产后抽搐症。多发于分娩后2~4周(早发型多发于分娩后2~4d)的产仔数多的小型母大,中型母犬亦可发病。
【病因】产后癫痫的直接原因是,分娩后血钙浓度的急剧降低。引起血钙浓度急剧降低的因素有以下三种:①产后大量泌乳,大量钙质进入初乳,这是血钙浓度下降的主要原因;②动用骨骼中储备钙的能力降低和骨骼中钙储备量减少,是血钙浓度下降的重要原因;③分娩前后,母体从肠道吸收的钙量减少,也是引起本病的原因。
【临床症】典型症状为全身肌肉强直,痉挛,抽搐(图14)。开始运步蹒跚,后躯僵硬,步态失调,以后表现烦躁不安,到处乱跑,易惊恐,对外界刺激表现敏感。站立不稳,倒地抽搐,呼吸迫促,口不停开合并流白色泡沫(图15)。多有呕吐、心跳加快及体温升高。病犬、猫瞳孔散大或昏睡,若未及时治疗,反复发作以至死亡。

图14 产后癫痫
病犬全身肌肉痉挛,抽搐

图15 产后癫痫
病犬呼吸急促,口流白色泡沫
【诊断】根据临床症状,结合血钙水平降低、补钙后迅速收到疗效,即可确诊。
【治疗】确诊后立即缓慢静脉注射10%葡萄糖酸钙溶液,症状可迅速缓解,经12h后重复注射1次,多数病犬可康复,严重病犬重复注射3~4次亦可痊愈。若心律不齐者改服钙片。伴低血糖者,同时静脉注射50%葡萄糖溶液,并口服维生素D。对症可给予镇静剂。加强饲养管理,改善母犬营养状况。

硕腾(Zoetis)
硕腾(Zoetis)的前身是辉瑞-动物保健部门。现在独立为全球性的动保公司领导者。我们积累了60多年的丰富经验,在全球有1100多名科学家致力于药品研发,2018年全球销售额达到58亿美元。
硕腾的产品线涵盖疫苗、驱虫药、抗生素、诊断试剂、止吐药、麻醉镇静、止痒药等。2018年5月,硕腾完成了对全球顶尖的诊断医疗上市公司爱倍思的并购,这极大丰富了硕腾在诊断领域的产品线,率先成为提供“诊断-预防-治疗”多方位解决方案的动物制药领导者。
上一篇←←综合目录→→下一篇

犬猫疾病类证鉴别诊疗
会员投稿
手机版
| 宠物频道








![犬猫消化系统疾病鉴别诊疗[十一]--以内](/uploads/allimg/201106/23-2011061T9500-L.jpg)
![犬猫消化系统疾病鉴别诊疗[十一]--以内](/uploads/allimg/200828/23-200RQ523030-L.jpg)

![犬猫消化系统疾病鉴别诊疗[十一]--以内](/uploads/allimg/200731/23-200I11S2220-L.jpg)







